当前位置:肿瘤瞭望>资讯>研究>正文

例例在望丨EGFR-TKI耐药时检测到ALK变异,晚期NSCLC治疗如何调整?

作者:肿瘤瞭望   日期:2025/2/6 11:48:43  浏览量:8932

肿瘤瞭望版权所有,谢绝任何形式转载,侵犯版权者必予法律追究。

致癌驱动基因(例如ALK)变异是已知的EGFR酪氨酸激酶抑制剂(TKI)获得性耐药机制。ALK变异可分为突变和重排,可使用不同的诊断方法检测。如果患者目前正在接受EGFR-TKI靶向治疗,随后检测到ALK基因变异,下一步如何治疗?国际知名专家指出将EGFR-TKI与匹配的靶向治疗相联合是一种有前途的策略。

致癌驱动基因(例如ALK)变异是已知的EGFR酪氨酸激酶抑制剂(TKI)获得性耐药机制。ALK变异可分为突变和重排,可使用不同的诊断方法检测。如果患者目前正在接受EGFR-TKI靶向治疗,随后检测到ALK基因变异,下一步如何治疗?国际知名专家指出将EGFR-TKI与匹配的靶向治疗相联合是一种有前途的策略。
 
本文作者
 
Stephanie Saw
新加坡国家癌症中心
 
Molly Li
香港中文大学
 
Sun Min Lim
韩国首尔延世大学医学院
 
TKI无疑改善了晚期EGFR突变非小细胞肺癌(NSCLC)患者的生存结果,但获得性耐药的发生不可避免。对于奥希替尼治疗发生的耐药,高达30%的肿瘤会出现脱靶耐药,其中高达4%的患者可发现RET和ALK等可靶向治疗的致癌融合。[1,2]疾病进展后是否应继续EGFR-TKI治疗并联合其他疗法?这一直是长期争论的问题。
 
尽管IMPRESS试验的结论是,在一线吉非替尼治疗进展后,继续使用第一代EGFR-TKI吉非替尼联合培美曲塞-铂类化疗没有获益,但事后分析表明,T790M突变状态可能混淆了这些结果。[3]然而,新出现的数据表明,在EGFR-TKI治疗疾病进展后继续使用奥希替尼可能有价值。[4]例如,在INSIGHT-2试验中,对于在奥希替尼耐药时发生获得性MET扩增的患者,与特泊替尼单药治疗相比,特泊替尼+奥希替尼获得了更高的客观缓解率(ORR)。[5]ORCHARD试验(NCT03944772)致力于研究阿来替尼+奥希替尼联合用于奥希替尼治疗耐药时发生ALK融合的患者;除此之外,将EGFR-TKI与匹配的融合基因靶向药物相联合的证据仅限于个例报道。
 
ALK突变与融合
 
ALK变异可分为突变和融合两种形式,其中ALK融合是NSCLC的致癌驱动因素,而ALK点突变(例如G1202R和I1171X)通常是ALK-TKI治疗后ALK重排NSCLC的耐药机制。[6]大约1%~2%的患者在接受EGFR-TKI治疗后可检测到获得性ALK融合。[7]大多数ALK融合引发的耐药是使用液体/组织下一代测序(NGS)检测到的,有时也使用免疫组化(IHC)和FISH。[8,9]与组织活检相比,液体活检NGS在检测基因融合方面的灵敏度可能较低,尤其是在肿瘤负荷较低的情况下。[10]
 
值得注意的是,并非所有由DNA NGS检测到的融合致癌基因都具有功能性或成为TKI耐药的原因,尤其是在检测到不常见的融合伴侣(即非EML4)时。[9,11]一项回顾性研究报告称,10%~15%涉及不常见融合伴侣的基因融合(ALK/ROS1/RET)无功能。[11]通过IHC或RNA测序进行正交验证(Orthogonal validation)对于解释不常见融合或新型ALK融合非常有价值。
 
一些病例报告支持将EGFR-TKI与ALK-TKI联合用于EGFR-TKI治疗后出现获得性ALK融合的患者,这种策略具有临床疗效;由于此类患者群体罕见,EGFR-TKI与ALK-TKI联合治疗策略仍缺乏高级证据。[8]
 
联合TKI治疗:案例研究
 
一名61岁女性被诊断患有IV期NSCLC腺癌,并伴有EGFR L858R突变,之前曾接受过奥希替尼治疗。奥希替尼耐药后进行了液体活检,结果显示存在新发的EML4-ALK融合(0.1%无细胞DNA)以及EGFR L858R突变。从2021年10月起,患者被分配到ORCHARD试验的奥希替尼+阿来替尼联合治疗组,并在20个月内获得了部分缓解(PR)。这位患者没有发生任何≥3级不良事件,大多数不良事件是1级肌酐升高和1级皮疹。经过大约24个月的联合治疗后,病情出现进展并改用铂类化疗。
 
该病例表明,针对EGFR靶向治疗耐药后发生其他基因组变异的患者,针对EGFR和新发基因变异的TKI联合治疗可产生临床获益,目的是以最小的毒性代价获得最大的获益。
 
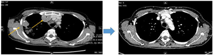
图:患者接受奥希替尼+阿来替尼联合治疗2个月前后的胸部CT扫描图
(左)一线奥希替尼治疗进展后基线胸部CT检查,显示胸膜和胸壁有转移性病变。
(右)奥希替尼+阿来替尼联合治疗2个月后胸部CT检查,显示靶病变显著缩小(-90%)。
 
总结
 
总之,当EGFR-TKI治疗耐药后检测到ALK融合时,同时靶向EGFR和ALK是一种有前途的策略。期待前瞻性临床试验的结果发布,以证明是否应将这种联合方案推荐给EGFR-TKI耐药时发生可靶向基因组变异的患者。
 
参考文献
 
1.Lee J,Piotrowska Z,Soo R,Cho BC,Lim SM.Combatting acquired resistance to osimertinib in EGFR-mutant lung cancer.Ther Adv Med Oncol.2022;14:17588359221144099.
 
2.Saw SPL,Le X,Hendriks LEL,Remon J.New treatment options for patients with oncogene-addicted non-small cell lung cancer focusing on EGFR-mutant tumors.Am Soc Clin Oncol Educ Book.2024;44(3):e432516.
 
3.Mok TSK,Kim S-W,Wu Y-L,et al.Gefitinib plus chemotherapy versus chemotherapy in epidermal growth factor receptor mutation-positive non-small-cell lung cancer resistant to first-line gefitinib(IMPRESS):overall survival and biomarker analyses.J Clin Oncol.2017;35(36):4027-4034.
 
4.Chaft JE,Oxnard GR,Sima CS,Kris MG,Miller VA,Riely GJ.Disease flare after tyrosine kinase inhibitor discontinuation in patients with EGFR-mutant lung cancer and acquired resistance to erlotinib or gefitinib:implications for clinical trial design.Clin Cancer Res.2011;17(19):6298-6303.
 
5.Wu Y-L,Guarneri V,Voon PJ,et al;INSIGHT 2 investigators.Tepotinib plus osimertinib in patients with EGFR-mutated non-small-cell lung cancer with MET amplification following progression on first-line osimertinib(INSIGHT 2):a multicentre,open-label,phase 2 trial.Lancet Oncol.2024;25(8):989-1002.
 
6.Lin JJ,Riely GJ,Shaw AT.Targeting ALK:precision medicine takes on drug resistance.Cancer Discov.2017;7(2):137-155.
 
7.Wang Q,Chen R,Kang J,et al.P1.14-39 acquired ALK rearrangement in EGFR-mutant lung adenocarcinoma treated with EGFR TKIs.J Thorac Oncol.2019;14(10):S569-S570.
 
8.Zhu VW,Klempner SJ,Ou S-HI.Receptor tyrosine kinase fusions as an actionable resistance mechanism to EGFR TKIs in EGFR-mutant non-small-cell lung cancer.Trends Cancer.2019;5(11):677-692.
 
9.Kobayashi Y,Oxnard GR,Cohen EF,et al.Genomic and biological study of fusion genes as resistance mechanisms to EGFR inhibitors.Nat Commun.2022;13(1):5614.
 
10.Kasi PM,Lee JK,Pasquina LW,et al.Circulating tumor DNA enables sensitive detection of actionable gene fusions and rearrangements across cancer types.Clin Cancer Res.2024;30(4):836-848.
 
11.Li W,Guo L,Liu Y,et al.Potential unreliability of uncommon ALK,ROS1,and RET genomic breakpoints in predicting the efficacy of targeted therapy in NSCLC.J Thorac Oncol.2021;16(3):404-418.

本内容仅供医学专业人士参考


致癌驱动基因

分享到: 更多