当前位置:肿瘤瞭望>百家>病例>正文

龚畅/曾银朵教授领衔逸仙MDT团队:TROP-2 ADC联合免疫疗法精准攻坚TNBC“铠甲胸”,获疾病完全缓解

作者:肿瘤瞭望   日期:2025/3/25 13:49:20  浏览量:17748

肿瘤瞭望版权所有,谢绝任何形式转载,侵犯版权者必予法律追究。

抗体偶联药物(ADC)为晚期三阴性乳腺癌(TNBC)患者带来了新的治疗希望,已经改变国内外临床实践。本期病例报告中,分享了一例年轻TNBC患者发生罕见的广泛皮肤转移,经过TROP-2 ADC戈沙妥珠单抗联合治疗重新得到疾病控制,且患者对治疗的耐受性良好。该病例的诊疗过程中,充分发挥了“逸仙团队”多学科诊疗协作的优势,紧密结合前沿进展和患者个体情况,为患者制定了个性化的诊疗方案,最终实现了理想的治疗效果。该病历诊疗经过由中山大学孙逸仙纪念医院深汕中心医院乳腺外科陈新明医师和徐子懿医师进行整理。

编者按:抗体偶联药物(ADC)为晚期三阴性乳腺癌(TNBC)患者带来了新的治疗希望,已经改变国内外临床实践。本期病例报告中,分享了一例年轻TNBC患者发生罕见的广泛皮肤转移,经过TROP-2 ADC戈沙妥珠单抗联合治疗重新得到疾病控制,且患者对治疗的耐受性良好。该病例的诊疗过程中,充分发挥了“逸仙团队”多学科诊疗协作的优势,紧密结合前沿进展和患者个体情况,为患者制定了个性化的诊疗方案,最终实现了理想的治疗效果。该病历诊疗经过由中山大学孙逸仙纪念医院深汕中心医院乳腺外科陈新明医师和徐子懿医师进行整理。
 
病例回放:“铠甲胸”的桎梏
 
初诊情况
 
42岁的吴女士(匿名),因10年前患子宫恶性肿瘤接受了全子宫切除术,这段经历让她对身体的任何异常都格外敏感,因此对自身健康状况十分关注。2023年7月,她的手指不经意间触碰左乳,感觉到一“肿物”,即刻前往医院检查。乳腺彩超显示,左侧乳腺实性结节28×18mm,BIRADS 4B类。左侧腋窝淋巴结肿大。经过细致的检查,吴女士被确诊左乳三阴性乳腺癌(TNBC)。面对这一沉重打击,吴女士仿佛跌入深渊,但她坚强地选择再次勇敢面对癌症,开始了新一轮的抗癌征程。然而,治疗之路曲折,虽然最初的新辅助化疗联合免疫治疗取得了令人鼓舞的成效,手术后肿瘤得到了病理完全缓解,但不幸的是,半年之后,“病魔”卷土重来,让吴女士的心情再度跌入深渊。
 
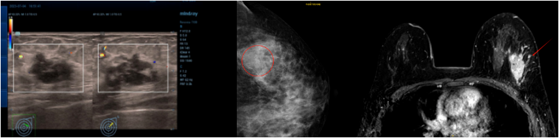
乳腺彩超:左侧乳腺实性结节(1-2点),28×18mm,BIRADS 4B类。左侧腋窝淋巴结肿大,15×11mm。
 
乳腺钼靶:左乳外上象限钙化灶及结节影,BI-RADS 4B类。
 
乳腺MRI:左乳外上象限肿块,大小约29mm×19mm,考虑乳腺癌,BI-RADS 6类。
 
 
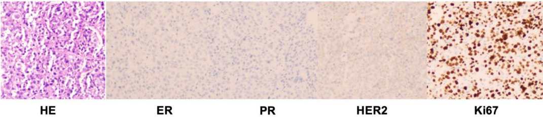
病理:(左乳肿物)穿刺:浸润性癌(非特殊型,Ⅱ级)。ER(-),PR(-),HER-2(1+),Ki-67热点区域约85%(+),PD-L1(22C3)CPS 1、TROP-2约3%弱(+)。FISH阴性。
 
左腋窝淋巴结:见癌细胞,考虑乳腺癌。
 
 
胸腹部CT、头颅MRI、ECT检查未见明确远处转移征象。
 
诊断:左乳浸润性导管癌(三阴型,cT2N1MO,IIB期)。

新辅助治疗:AC(脂质体阿霉素+环磷酰胺)+PD-1单抗(卡瑞利珠单抗)*4-TCb(紫杉醇脂质体+卡铂)+PD-1单抗*4”。疗效:部分缓解(PR)。
 
 
新辅助治疗结束后,行左乳癌根治性保乳+腺体内重建+左侧腋窝淋巴结清扫术。病理:未见癌残留,MP分级G5,切缘未见癌。淋巴结(0/16)未见癌转移。
 
 
辅助放疗:左乳全乳+锁上50Gy/25F;瘤床64Gy/32F。

术后继续卡瑞利珠单抗10疗程。
 
放疗疗程完毕后一个月,患者出现患侧乳房皮肤脱屑,并伴红肿、疼痛、瘙痒及灼热感。放疗科医师根据临床表现,初步诊断为放射性皮炎,并建议采用局部外用药物治疗(苯海拉明软膏、氧化锌搽剂、糠酸莫米松乳膏、复方维生素B12溶液、硼酸溶液)。对症处理后,未见好转,范围逐渐增大。放疗期间复查肿瘤标志物CA211进行性升高(1.8→23.7ng/mL;正常范围0-3.3 ng/mL)。
 
随着皮肤红斑进行性扩散,患者历经三个月症状困扰后,慕名前往龚畅教授门诊就诊,寻求进一步诊疗方案。龚畅教授通过详细问诊及系统查体,高度怀疑患者皮损并非单纯放射性皮炎所致,需警惕肿瘤复发可能。为此,龚畅教授立即牵头组织了多学科联合诊疗会诊,同时考虑到患者就医方便(患者居住地靠近深汕院区),为避免患者奔波,汇聚了中山大学孙逸仙纪念医院多院区(南院区、北院区及深汕院区)的乳腺外科、乳腺内科、皮肤科、病理科、放射科和放疗科等多学科专家团队。经诊疗团队综合评估后认为,患者躯干大面积皮疹需与放射性皮炎、接触性皮炎、体癣及乳腺癌皮肤转移等疾病进行鉴别诊断:
 
放射性皮炎,常发生于放射野内,急性期表现为局限性水肿性红斑,有灼热与瘙痒感,之后可消退并留有脱屑等;严重者可出现局部红肿明显,产生水疱,甚至溃疡,伴明显疼痛。慢性期表现为皮肤干燥、萎缩,汗腺、皮脂腺分泌减少,皮下组织萎缩及纤维化,毛细血管扩张、色素沉着或减退等。吴女士皮肤红肿范围超出放射野,并延伸至腹部及背部,随着病程的延长,皮肤红肿范围逐渐扩大,不符合放射性皮炎的特征。
 
接触性皮炎,有明确接触史,皮疹局限于接触部位,无环状特征,真菌检查阴性。
 
体癣是浅表真菌感染性疾病,多见于躯干、四肢等光滑皮肤,与接触传播相关(如共用毛巾、宠物接触史),典型表现为环状红斑,伴瘙痒,真菌镜检阳性可确诊。
 
根据患者病程,年轻,三阴性乳腺癌,伴肿瘤标志物持续上升,肿瘤复发可能性大。建议完善乳腺彩超、CT,并行左乳房皮肤及腺体组织、右腋窝淋巴结穿刺活检,以明确诊断。
 
 
进一步完善检查:
 
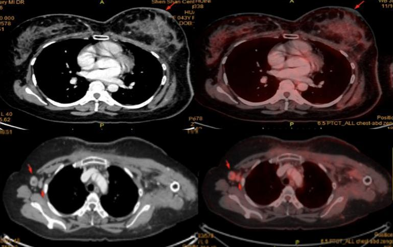
胸部CT:双侧斜裂及右肺下叶新发实性结节,较大约4mm×4mm,建议随诊复查。
 
乳腺彩超:左侧乳腺皮肤水肿增厚,约4.7mm。左乳部分切除术后,皮层明显增厚,左乳内结构显示不满意,BIRADS 0。右侧乳腺未见明显占位病变,BIRADS 1类。左侧腋窝区未见异常淋巴结。右侧腋窝淋巴结肿大,最大约33×15mm,皮质明显增厚,部分门型结构消失,性质待查。
 
乳腺MR:左乳上象限乳腺癌治疗后改变,病灶范围较前增大,较大范围约30mm×31mm×29mm;左侧乳腺多发结节、乳晕、皮肤增厚及右腋窝增大淋巴结,大者直径24mm,考虑转移。右乳多发囊性病灶,右乳背景多发轻度强化,考虑良性改变,BI-RADS 3类。
 
PET-CT:考虑左乳皮皮肤转移伴炎症可能;右侧腋窝淋巴结转移。余未见明显异常。
 
 
头颅MR增强:未见明确异常。

皮肤活检,病理:表皮大致正常。真皮浅、中、深层血管、淋巴管内见肿瘤细胞团块,胞核深染,胞浆丰富,部分呈空泡状。符合皮肤转移癌(乳腺来源可能)。免疫组化:ER(-),PR(-),HER-2浸润癌(2+),Ki-67约80%(+),TROP2(约50%中-强+、约20%弱+);GATA-3(+),TRPS1(+)。Fish阴性
 
 
乳腺组织穿刺,病理:乳腺浸润性癌。IHC:ER(-),HER-2浸润癌(1+),Ki-67热点区约80%(+),PD-L1(22C3)CPS为5,TROP2约90%中-强(+),E-Cadherin(+),P120膜(+),CK5/6(-),P63(-),Calponin(-),SMMHC(-),EGFR约80%中-强(+),TRPS1(+)。
 
右腋窝淋巴结穿刺病理:见癌转移。IHC:ER<1%(+)、PR<1%(+)、HER-2(1+)、Ki-67热点区域约85%(+)。
 
 
行520基因检测:未见BRCA1/2突变,TP53突变、CCNE1拷贝数扩增、TMB 6个突变/Mb、MSS、HRD 27。
 
在完成了全面且详尽的各项检查之后,确诊为:左乳浸润性导管癌保乳术后皮肤及右腋窝淋巴结转移,IV期,三阴型。此时,查体可见前胸壁及背部皮肤弥漫性增厚伴皮革样硬化,符合乳腺癌晚期特征性体征——“铠甲胸”表现。建议患者尽早启动速效治疗方案,若病情持续进展,可能导致呼吸功能受限,显著降低生存质量。鉴于患者长期居住在汕尾地区,为减轻其往返于广州与汕尾之间的舟车劳顿,龚畅教授和乳腺肿瘤内科曾银朵教授再次发起并主持了一次线上多学科联合远程会诊。来自各学科的专家团队齐心协力,为患者量身定制了治疗方案,不仅保障了医疗服务的质量,也减轻了患者的就医压力。
 
该患者为治疗期间出现复发转移,可参考转移性乳腺癌二线治疗方案,ASCENT研究结果显示TROP2-ADC,戈沙妥珠单抗(Sacituzumab govitecan,SG)作为二线或更后线治疗转移性三阴性乳腺癌(mTNBC)疗效明显优于化疗(PFS 5.6个月对比1.7个月),亚组分析显示TROP-2表达水平与疗效相关。戈沙妥珠单抗被国内外指南(如NCCN、ESMO、CSCO、CACA等)推荐为mTNBC晚期二线治疗人群的标准方案。鉴于该患者TROP-2蛋白表达水平≥90%,肿瘤细胞呈现中等至强阳性,且临床证据显示TROP-2高表达人群使用戈沙妥珠单抗可获得更高客观缓解率,建议将其作为一线治疗选择。BEGONIA研究、MORPHEUS-panBC研究探索了TROP-2 ADC联合免疫在一线治疗三阴乳腺癌的结果,这一联合疗法具有可观的疗效、良好的安全性。结合既往患者化疗联合免疫治疗,达到完全缓解(CR),可再次尝试免疫治疗。来自中山大学孙逸仙纪念医院团队的基础及临床研究显示抗血管治疗可以重新编程肿瘤的免疫微环境,这就更有利于免疫检查点抑制剂发挥强有力的疗效。该患者经过化疗+免疫、手术及放疗,放疗后1个月出现肿瘤复发,为原发耐药患者,针对该患者,如疾病未控,可能导致肿瘤快速扩散。
 
团队经慎重考虑后,建议患者尝试戈沙妥珠单抗+特瑞普利单抗+安罗替尼治疗,并告知为超说明书用药,患者知情并同意尝试该治疗方案。患者已完成了6程治疗,治疗期间的第一个疗程皮肤转移瘤快速消退。期间患者耐受性良好,未出现骨髓抑制、腹泻、肝肾功能异常等不良反应。
 
 
6程后复查乳腺MR、胸部+上腹部CT、乳腺彩超,提示:左乳病灶范围较前明显缩小,右腋窝肿大淋巴结消失。
 
 
多学科团队会诊,通过戈沙妥珠单抗(TROP-2 ADC)联合免疫及抗血管生成治疗,成功使晚期三阴乳腺癌复发转移伴“铠甲胸”患者达到完全缓解(CR),验证了精准靶向治疗在难治性病例中的显著疗效。
 
专家点评:ADC如何打破“僵局”

01
《肿瘤瞭望》:能否介绍一下TNBC患者尤其是年轻TNBC患者的预后和诊疗现状?以及如何看待戈沙妥珠单抗治疗mTNBC的药物优势和临床表现?

龚畅教授:TNBC侵袭性强、复发转移风险高、治疗手段有限,且好发于绝经前女性。一项来自美国国家癌症数据库(NCDB)大样本研究显示,在总体乳腺癌中,TNBC比例为13%;而年轻乳腺癌患者中TNBC比例相对更高,≤30岁和31-40岁患者中TNBC比例分别达23.3%和21.1%,而41-50岁、51-60岁、61-70岁患者中的比例逐渐降低,分别为15.2%、14.4%和11.4%[1]
 
年轻TNBC患者的预后相对较差,其5年生存率显著低于其他分子亚型乳腺癌;这一现象可能与年轻TNBC患者肿瘤的侵袭性较强、更易出现早期转移的特性相关[2],尤其mTNBC中位总生存期(OS)约12-18个月。
 
曾银朵教授:目前,在针对TNBC的系统治疗策略中,化疗仍然是基石。免疫检查点抑制剂(ICIs)已成TNBC新的治疗选择,尤其是对于PD-L1阳性患者群体,其治疗获益尤为显著。新辅助治疗:KEYNOTE-522研究结果显示,帕博利珠单抗联合化疗使pCR率从51.2%提升至64.8%,并改善无事件生存期(EFS);肿瘤表达PD-L1阳性(CPS≥20)亚组人群的pCR率从62.5%提升至81.7%[3]。基于此研究,免疫治疗联合化疗成为新辅助治疗的首选方案。在晚期三阴性乳腺癌的治疗研究中,免疫联合化疗的策略(如KEYNOTE-355和TORCHLIGHT研究)已经取得了积极的阳性结果,并已被纳入临床实践指南,为临床治疗提供了重要指导。KEYNOTE-355研究显示,在PD-L1 CPS≥10的mTNBC患者中,化疗联合帕博丽珠单抗组的中位PFS为9.7个月,相比于化疗组(mPFS 5.6个月)明显延长[4]。TORCHLIGHT研究结果显示,在复发/转移性TNBC患者中,特瑞普利单抗联合白蛋白紫杉醇在PD-L1阳性(CPS≥1)和ITT人群中位PFS双获益达8.4月[5]。综上所述,免疫治疗已成为TNBC治疗领域的一种新选择。
 
在免疫治疗联合抗血管生成治疗方面,中山大学孙逸仙纪念医院团队所做的基础及临床研究显示抗血管治疗可以重新编程肿瘤的免疫微环境,这就更有利于免疫检查点抑制剂发挥强有力的疗效[6];另外本中心的II期研究,探索卡瑞利珠单抗+阿帕替尼+艾立布林用于多线治疗失败后的TNBC具有显著获益,其ORR为37.0%,疾病控制率(DCR)为87.0%,中位PFS长达8.1个月,有望成为晚期TNBC后线治疗新选择[7]。基础和临床研究结果显示,免疫治疗联合抗血管生成治疗对于mTNBC也是可选择方案之一。
 
龚畅教授:临床治疗挑战更大的是,经早期新辅助/辅助治疗或晚期一线治疗失败的mTNBC患者的预后尤其差,治疗选择极其有限,传统化疗仅能带来大约3个月的PFS[8]。近年来,ADC类药物在mTNBC的治疗中展现了积极的生存获益和良好的治疗耐受性。ADC利用靶向肿瘤抗原的单克隆抗体,通过连接子偶联细胞毒性药物,精确送达肿瘤细胞,提升了疗效同时减少了药物毒性。而且新一代ADC的“旁观者效应”可对邻近肿瘤细胞产生杀伤作用。例如,戈沙妥珠单抗是一种针对TROP-2的新型ADC,其均一的高药物抗体比(DAR 7.6:1)和“双重旁观者效应”赋予其高效且低毒的特性。该药物在不同TROP-2表达水平的患者中均显示出疗效,因此无需进行TROP-2表达检测[9]

02
《肿瘤瞭望》:乳腺癌皮肤转移在临床中较为罕见,诊疗难度大。结合“逸仙”多学科诊疗经验和相关研究进展来看,戈沙妥珠单抗治疗此类患者的疗效和安全性表现如何?

龚畅教授:本例患者为初诊IIB期(cT2N1M0)TNBC,经过新辅助化疗联合免疫治疗、手术、术后辅助放疗和免疫治疗等综合治疗,在治疗期间出现皮肤病变。放射性皮炎和皮肤转移癌在临床表现上可能相似,但其病理机制和治疗策略不同。放射性皮炎通常在放疗开始后的1-4周内出现[10],具体发生时间和严重程度因个体差异、放疗剂量、照射部位及治疗方案的不同而有所变化;常见于皮肤褶皱多、高剂量放疗,以及皮肤屏障脆弱的儿童、老年人、糖尿病患者等人群;主要表现为皮肤红斑、脱皮和疼痛。皮肤转移癌则表现为持续性皮肤结节或红斑,且范围逐渐扩大[11]。另外需要与体廯、接触性皮炎相鉴别,皮肤病有明确的接触史。病理检查是鉴别这几类疾病的关键。皮肤作为人体面积最大的器官,其转移癌的范围可从区域进展至全身。在临床实践中,区域复发的TNBC患者的手术价值取决于复发的范围和患者的整体状况等。如果复发仅限于局部区域且无内脏转移,手术可能有助于控制疾病、延缓进展;但对于皮肤扩散较远、较广泛的患者,手术的可行性和效果需要综合评估。
 
曾银朵教授:在本病例报告中,SG对此例表现为皮肤进展性复发转移的mTNBC患者展现了积极的疗效。意大利临床个案报告显示,TROP-2 ADC戈沙妥珠单抗治疗1例54岁mTNBC皮肤转移患者,3周期治疗后即观察到皮损颜色变淡及皮肤张力显著缓解,治疗持续16个月后才出现肝转移及脑转移,提示该药物可为皮肤转移的特定人群带来持久疾病控制[12]。随着一系列研究表明ADC在疗效上显著超越传统化疗,并且在毒副作用方面也表现出优势,ADC与免疫治疗的联合应用已成为当前乃至未来的研究焦点之一。2024年ESMO BC会议报告了Ib/II期MORPHEUS-panBC研究的结果,该研究评估了戈沙妥珠单抗联合阿替利珠单抗在局部晚期或转移性PD-L1阳性TNBC患者的一线治疗中疗效,ORR达到76.7%,中位mPFS为12.2个月,相较于对照组的5.9个月,mPFS延长了6.3个月。此外,研究中未观察到新的安全性问题[13]。另外,BEGONIA研究探索了另一TROP2-ADC即Dato-DXd联合度伐利尤单抗在一线治疗三阴乳腺癌的结果非常令人欣喜,客观缓解率高达到79%。中位PFS为13.8个月。ASCENT-03、ASCENT-04两项III期临床研究有望为一线ADC联合免疫治疗提供更扎实的证据支持。这种联合治疗的理论基础在于,ADC可以直接杀伤肿瘤细胞,释放肿瘤抗原,从而增强免疫系统对肿瘤的识别和攻击;并通过调节肿瘤微环境,增强免疫治疗的效果[14]
 
本例患者在mTNBC一线使用戈沙妥珠单抗联合了特瑞普利单抗和安罗替尼的联合治疗,显示出了惊人的疗效,治疗1周,乳腺、腹部、背部红肿明显改善,4个疗程后皮肤转移瘤完全缓解,目前患者仍在接受治疗随访中,期待进一步疗效评估。
 
龚畅教授:我院依托多院区协同优势,创新构建乳腺疾病多学科联合诊疗模式,通过整合南院区、北院区及深汕院区的乳腺外科、乳腺内科、皮肤科、病理科、放射科、放疗科等精锐力量,打破传统单学科诊疗壁垒。专家团队以患者需求为导向,通过实时会诊、联合查房、病例讨论等机制,为每位患者量身定制涵盖预防、诊断、治疗及康复的全周期个性化方案。这种“一站式”诊疗服务不仅显著缩短了患者辗转就医时间,更通过多学科智慧碰撞实现精准决策,让乳腺癌诊疗兼具科学性与人文温度,真正将“以患者为中心”的理念转化为可感知的医疗服务升级。
 
参考文献
 
[1]Plasilova ML,Hayse B,Killelea BK,Horowitz NR,Chagpar AB,Lannin DR.Features of triple-negative breast cancer:Analysis of 38,813 cases from the national cancer database.Medicine(Baltimore).2016;95(35):e4614.doi:10.1097/MD.0000000000004614
 
[2]Carey LA,Perou CM,Livasy CA,et al.Race,breast cancer subtypes,and survival in the Carolina Breast Cancer Study.JAMA.2006;295(21):2492-2502.doi:10.1001/jama.295.21.2492
 
[3]Schmid P,Cortes J,Pusztai L,et al.Pembrolizumab for Early Triple-Negative Breast Cancer.N Engl J Med.2020;382(9):810-821.doi:10.1056/NEJMoa1910549
 
[4]Cortes J,Cescon DW,Rugo HS,et al.Pembrolizumab plus chemotherapy versus placebo plus chemotherapy for previously untreated locally recurrent inoperable or metastatic triple-negative breast cancer(KEYNOTE-355):a randomised,placebo-controlled,double-blind,phase 3 clinical trial.Lancet.2020;396(10265):1817-1828.doi:10.1016/S0140-6736(20)32531-9
 
[5]Jiang Z,Ouyang Q,Sun T,et al.Toripalimab plus nab-paclitaxel in metastatic or recurrent triple-negative breast cancer:a randomized phase 3 trial.Nat Med.2024;30(1):249-256.doi:10.1038/s41591-023-02677-x
 
[6]Li Q,Wang Y,Jia W,et al.Low-Dose Anti-Angiogenic Therapy Sensitizes Breast Cancer to PD-1 Blockade[J].Clinical Cancer Research,2019,26(7):clincanres.2179.2019.DOI:10.1158/1078-0432.CCR-19-2179.
 
[7]Liu J,Wang Y,Tian Z,et al.Multicenter phase II trial of Camrelizumab combined with Apatinib and Eribulin in heavily pretreated patients with advanced triple-negative breast cancer[J].Nature Communications,2022,13.DOI:10.1038/s41467-022-30569-0.
 
[8]Yardley DA.Drug resistance and the role of combination chemotherapy in improving patient outcomes.Int J Breast Cancer.2013;2013:137414.doi:10.1155/2013/137414
 
[9]Bardia A,Rugo HS,Tolaney SM,et al.Final Results From the Randomized Phase III ASCENT Clinical Trial in Metastatic Triple-Negative Breast Cancer and Association of Outcomes by Human Epidermal Growth Factor Receptor 2 and Trophoblast Cell Surface Antigen 2 Expression.J Clin Oncol.2024;42(15):1738-1744.doi:10.1200/JCO.23.01409
 
[10]Hymes SR,Strom EA,Fife C.Radiation dermatitis:clinical presentation,pathophysiology,and treatment 2006.J Am Acad Dermatol.2006;54(1):28-46.doi:10.1016/j.jaad.2005.08.054
 
[11]Hussein MR.Skin metastasis:a pathologist’s perspective.J Cutan Pathol.2010 Sep;37(9):e1-20.doi:10.1111/j.1600-0560.2009.01469.x.Epub 2009 Nov 17.PMID:19922483.
 
[12]Di Menna G.Attivitàdi sacituzumab govitecan nelle metastasi cutanee:descrizione di un caso[Activity of sacituzumab govitecan in skin metastases:description of a case.].Recenti Prog Med.2024;115(11):90e-93e.doi:10.1701/4365.43612
 
[13]Peter Schmid,et al.Interim analysis(IA)of the atezolizumab(atezo)+sacituzumab govitecan(SG)arm in patients(pts)with triple-negative breast cancer(TNBC)in MORPHEUS-pan BC:A Phase Ib/II study of multiple treatment(tx)combinations in pts with locally advanced/metastatic BC(LA/mBC).2024 ESMO BC abstract 181O
 
[14]Beck A,Goetsch L,Dumontet C,Corvaïa N.Strategies and challenges for the next generation of antibody-drug conjugates.Nat Rev Drug Discov.2017;16(5):315-337.doi:10.1038/nrd.2016.268
 
点评专家简介
 
龚畅教授
中山大学孙逸仙纪念医院
逸仙乳腺肿瘤医院
乳腺外科二级主任医师/三级教授、外科学博士、博士生导师
乳腺诊断专科主任、乳腺肿瘤中心第二职工党支部书记
中国抗癌协会乳腺癌整合防筛专委会常委
中国抗癌协会乳腺癌专委会委员
中国女医师协会乳腺专委会常委
中国女医师协会临床肿瘤专委会委员
广东省医师协会乳腺专科医师分会副主委
广东省精准医学应用分会癌症早筛早诊分会副主委
广东省抗癌协会癌症筛查与早诊早治专委会副主委
广东省临床医学学会泛家族遗传性肿瘤防控专委会副主委
广东省临床医学学会乳腺癌专委会副主委
广东省医学会乳腺病学分会常委
主持科技部国家重点研发计划(课题组长)1项、国家科技创新20230(课题组长)1项,国家自然科学基金7项,省部级基金7项。CSCO基金2项。入选科技部、教育部、广东省杰青等人才项目5项。主编人卫出版社专著《组织标记在乳腺疾病精准诊疗中的应用》。研究成果获广东省科技进步二等奖(第一完成人),并被中国年轻乳腺癌诊疗专家共识以及包括研究生教材《疾病学基础》《肿瘤学》在内的17本参与编写的专著引用。获专利10项,开发软件2项。以第一/通讯在Cancer Cell,Cell Reports Medicine,Med,Medcomm,Molecular Cancer,Cancer Research,Advanced Science,Nature Communications发表论文43篇,总引用2771次,高被引论文3篇。
 
曾银朵教授
中山大学孙逸仙纪念医院
博士、副主任医师、硕士生导师、逸仙乳腺肿瘤医院乳腺内科
广东省胸部肿瘤防治研究会乳腺肿瘤内科专业委员会主任委员
中国医药卫生事业发展基金会乳腺肿瘤学组秘书长
广东省卫生信息网络协会智慧肿瘤研究分会副会长
广东省临床医学学会泛家族遗传性肿瘤防控专业委员会常委
广东省抗癌协会乳腺癌专业委员会委员
广东省胸部肿瘤防治研究会胸部肿瘤脑转移专业委员会委员
中国抗癌协会肿瘤分子医学专业委员会委员
中国抗癌协会肿瘤标志专业委员会会员
主持国家自然科学基金青年基金1项
主持中山大学5010培育项目1项
主持逸仙临床研究培育项目1项
参加编写《临床肿瘤内科学》和《乳腺癌保乳治疗》
英国卡迪夫大学访问学者
参加多项国际及国内多中心临床研究
 
病例整理医生简介
 
陈新明医师
主治医师,中山大学外科硕士,中山大学孙逸仙纪念医院深汕中心医院团委书记
现任汕尾市青年联合会常委兼医药卫生界别主委,汕尾市医学会乳腺病学分会常委,广东省抗癌协会遗传性肿瘤专业委员会委员,广东省预防医学会乳腺癌防治专业委员会委员,广东省医疗行业协会乳腺专科管理分会委员等,获得“广东省优秀团干”“优秀党务工作者”等。以第一作者发表SCI论文5篇;参与发表国内外论文多篇;获得专利授权3项。
 
徐子懿医师
中山大学孙逸仙纪念医院深汕中心医院
乳腺外科主治医师、肿瘤学硕士
汕尾市医学会乳腺病学分会委员
主持广东省医学科研基金项目1项
获得专利授权3项

本内容仅供医学专业人士参考


乳腺癌

分享到: 更多