当前位置:肿瘤瞭望>资讯>研究>正文

百例挑益丨仁术济语:一例特瑞普利单抗联合化疗作为新辅助治疗的局部进展期膀胱癌患者全程化管理

作者:肿瘤瞭望   日期:2022/3/12 11:15:10  浏览量:15541

肿瘤瞭望版权所有,谢绝任何形式转载,侵犯版权者必予法律追究。

局部进展期的肌层浸润性膀胱癌(MIBC)患者的R0切除难度大,术后复发风险极高。尤其对于cN+的亚群,术后5年生存率低于20%。新辅助治疗有助于降期实现R0切除,同时控制微转移灶,从而改善患者预后。近年来,免疫治疗在晚期尿路上皮癌领域的疗效和安全性已得到肯定,并向前线(新)辅助治疗进军。在RJBLC-I2N003研究中,特瑞普利单抗在MIBC新辅助治疗中取得了单药40%病理完全缓解率(ypCR)的优秀成绩。本期“百例挑益”栏目,分享了一例接受综合治疗的局部进展期患者,在特瑞普利单抗联合化疗新辅助治疗后获得疾病缓解和根治性切除,患者目前已无病存活23个月。值得一提的是,特瑞普利单抗是目前国内mUC领域中唯一无需考虑PD-L1表达水平的免疫疗法,且已纳入医保,该例患者为PD-L1表达阴性、高TMB,其疗效印证了晚期治疗的POLARIS-03研究与RJBLC-I2N003研究的结果。

▌病例报告专家:张瑞赟 教授

 
▌病例指导专家:陈海戈 教授
 
▌病例点评专家:薛 蔚 教授
 
编者按
 
●局部进展期的肌层浸润性膀胱癌(MIBC)患者的R0切除难度大,术后复发风险极高。尤其对于cN+的亚群,术后5年生存率低于20%。新辅助治疗有助于降期实现R0切除,同时控制微转移灶,从而改善患者预后。近年来,免疫治疗在晚期尿路上皮癌领域的疗效和安全性已得到肯定,并向前线(新)辅助治疗进军。在RJBLC-I2N003研究中,特瑞普利单抗在MIBC新辅助治疗中取得了单药40%病理完全缓解率(ypCR)的优秀成绩。本期“百例挑益”栏目,分享了一例接受综合治疗的局部进展期患者,在特瑞普利单抗联合化疗新辅助治疗后获得疾病缓解和根治性切除,患者目前已无病存活23个月。值得一提的是,特瑞普利单抗是目前国内mUC领域中唯一无需考虑PD-L1表达水平的免疫疗法,且已纳入医保,该例患者为PD-L1表达阴性、高TMB,其疗效印证了晚期治疗的POLARIS-03研究与RJBLC-I2N003研究的结果。
 
病例报告专家简介
 
 
张瑞赟 教授
 
主治医师 医学博士
 
现任:
 
仁济医院泌尿科主治医师 
 
仁济医院国家GCP药理基地(泌尿)副主任
 
仁济医院西院膀胱肿瘤医疗组长
 
膀胱癌与尿路上皮癌临床试验主要研究医师
 
国家药物临床试验机构质控员
 
兼任:
 
国际膀胱癌协作组IBCN成员
 
欧洲泌尿外科协会国际会员
 
中国临床肿瘤协会会员
 
中华医学会泌尿外科学分会会员
 
亚洲机器人全膀胱根治协作组ARARC成员
 
BJUI中文版编委会学术秘书
 
Oncology Letters审稿人
 
科研:
 
作为主要研究医师管理临床药物试验48项。主持国家自然科学基金1项,地区研究基金2项,参与多项国家与省市级研究基金。近年来以第一/共同第一作者发表论文15篇,累计IF>40。曾多次受邀在EAU、AUA、UAA、ASCO、ASCO GU等国际学术会议发言,并在2016、2017连续荣获EAU Best Poster称号。
 
曾获:
 
上海市优秀住院医师
 
法国国家医学科学院优秀奖学金
 
上海交通大学优秀毕业生
 
仁济医院优秀住院医师
 
国家留学基金委公派留学全额奖学金
 
全国中青年泌尿外科医师免疫治疗病例大赛总冠军
 
简介:
 
师从我国著名泌尿外科专家黄翼然教授从事泌尿系统肿瘤,尤其是膀胱尿路上皮癌的临床与转化医学研究工作。曾获国家公派前往法国居里癌症中心(欧洲最大的肿瘤临床和研究中心),师从国际膀胱癌权威F. Radvanyi教授,获得法国Université Paris Sud肿瘤学双学位,学习膀胱尿路上皮癌的系统性综合治疗。临床方向为膀胱癌与尿路上皮癌,包括高危人群膀胱肿瘤早期筛查、无痛膀胱软镜检查及激光消融、保留膀胱微创手术、达芬奇机器人手术,以及化疗、免疫治疗与分子靶向治疗在内的综合治疗,同时擅长肿瘤精准检测与个性化治疗方案的制定。
 
病例报告
 
患者LXX,46岁,男性,ECOG 0分
 
现病史:2017-2开始出现肉眼血尿伴尿频尿急尿痛,外院电切病理腺性膀胱炎,未规律治疗。2019-9 出现右侧肾脏积水,至我院就诊。2019-10 我院行右侧经皮肾穿刺造瘘(PCN)。PET-CT检查提示:膀胱左侧壁及后壁增厚伴FDG代谢异常增高,累及双侧输尿管开口,局部与左侧精囊腺、前列腺分界不清,考虑肿瘤性病变;伴双侧髂外血管旁淋巴结转移。
 
既往及家族史:吸烟史15年,约1包/天。否认职业暴露、染发、草药暴露史。否认家族史。否认高血压、糖尿病、自免病、病毒性肝炎、其他慢性疾病史。
 
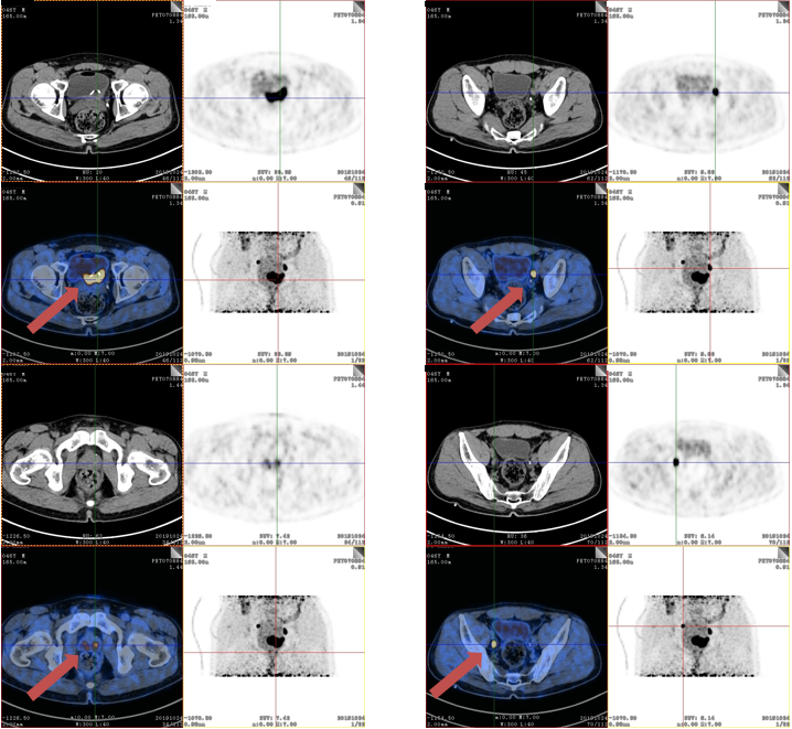
PET-CT延迟成像(2019-10,图1):膀胱左侧壁及后壁增厚,累及双侧输尿管开口,局部与左侧精囊腺分界不清,利尿延迟显像FDG代谢异常增高SUVmax=32.3。双侧髂外血管旁见多枚淋巴结影,较大者约15*10mm位于左侧,利尿延迟显像FDG代谢增高,SUVmax=25.2-28.5。
 
图1.PET-CT延迟成像(2019-10)
 
2019-10诊断性电切:术中见膀胱三角区电切疤痕,后顶壁可见粘膜下巨大隆起。术后活检结果:“顶壁随机活检1”为尿路上皮原位癌;“顶壁随机活检2”为高级别乳头状尿路上皮癌,伴原位癌;“三角区实质样新生物”为高级别浸润性尿路上皮癌,侵犯神经束。
 
诊断:膀胱高级别浸润性尿路上皮癌(cT4aN2M0)
高危因素:合并原位癌,侵犯神经束
 
综合考虑该名患者为局部进展期的MIBC,根据仁济泌尿标准化疗程,该名患者进入仁济泌尿泌尿系肿瘤MDT讨论流程。
 
▌MDT Panel 第一次
 
泌尿科:患者为局部进展期MIBC,双侧髂血管淋巴结转移,手术治疗可选择机器人辅助根治性膀胱切除术(RARC)并行扩大盆腔淋巴结清扫(ePLND)。考虑合并原位癌、侵犯神经束、淋巴结转移等高危因素,建议行新辅助化疗,可选新辅助免疫治疗,尿流改道根据新辅助治疗效果决定。
 
肿瘤科:同意新辅助治疗建议,目前MIBC标准新辅助治疗方案为GC化疗,国内外已有研究正在探索新辅助免疫治疗,可完善基因检测、PD-L1表达水平有助于判断新辅助免疫治疗获益。
 
放疗科:该患者暂无新辅助放疗指证,术后可根据病理情况,决定是否行辅助放疗。
 
患者肿瘤组织免疫组化:ki-67(40%)、P53(-)、CK5/6(+)、CK14(+)、HER-2(0)、CD44(+)、CK20(-)、GATA3(-)、P16(+)。分子亚型检测:符合基底型(Basal)。
 
基因检测:DNA损伤修复通路基因BRCA、BRIP1、CHEK2、TP53呈阳性,突变负荷为40.22Muts/Mb,其他见图2。
 
图2.基因检测结果
 
考虑该患者年轻,ECOG 0分,DDR突变阳性,高TMB,Basal亚型,顺铂化疗可耐受,且可能对免疫治疗敏感。故建议给予新辅助免疫联合化疗(NACI)。待疗程结束后复查影像学,再行MDT讨论。
 
患者于2019-11开始NACI治疗:吉西他滨联合顺铂q3w(d1、2、8),特瑞普利单抗q3w(d8),共4疗程。
 
过程顺利,不良反应:白细胞下降2级,CTCAE 皮疹1级,CTCAE 肝损2级(AST、ALT升高),均为化疗相关不良反应(CTCAE),没有免疫治疗相关不良反应(irAE)发生。
 
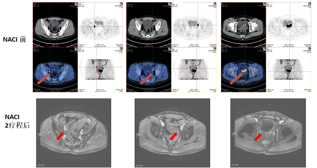
2个疗程NACI后影像学评估达到iPR(图3)。
 
图3. NACI 2疗程后影像学评估
 
2020-2复查PET-CT提示(图4),膀胱癌综合治疗后,双侧输尿管入膀胱处FDG代谢增高,考虑肿瘤活性残留可能,较前次检查(2019-10-24)膀胱壁病灶明显缩小,右侧髂血管旁转移淋巴结体积减小、FDG代谢减低,原左侧髂血管旁淋巴结基本消失。
 
图4. NACI 4疗程后影像学评估
 
▌MDT Panel 第二次
 
核医学科:结合NACI前后PET-CT检查结果,患者达到影像学PR(ycT1N1M0)。
 
泌尿科:NACI 4疗程后达到部分缓解,可行标准全膀胱根治性切除+扩大淋巴结清扫术(RARC+ePLND)。考虑复发风险较高,尿流改道建议行回肠通道术(Bricker)。
 
肿瘤科:目前影像学评估达到PR,待术后病理结果决定辅助治疗决策。
 
放疗科:同上,术后根据病理情况,决定是否辅助放疗。
 
患者于2020-3行达芬奇机器人辅助下全膀胱根治性切除+扩大淋巴结清扫术+回肠通道术(RARC+ePLND+Bricker),过程顺利。术后病理:全膀胱未见肿瘤组织残留,可见纤维组织增生、慢性炎,符合治疗后反应;右髂外动脉旁淋巴结(2/7)见癌转移;骶前淋巴结(0/5)、腹主动脉旁淋巴结(0/4)、左髂外动脉旁淋巴结(0/10)、右髂内动脉旁淋巴结(0/3)、左髂血管闭孔旁淋巴结(0/6)、左髂内动脉旁淋巴结(0/6)均阴性。剥离面、尿道切缘、前列腺、左右输精管精囊腺、尿道两侧切缘、左/右输尿管残端、尿道残端均阴性。
 
病理分期:ypT0N2M0。
 
▌MDT Panel 第三次
 
泌尿科:患者术后病理分期为ypT0N2M0,考虑NACI有效,建议辅助治疗,并密切随访。
 
肿瘤科:同意辅助化疗,可选辅助免疫治疗,建议序贯治疗。
 
放疗科:考虑R0切除,暂无辅助放疗指证。
 
2020-4开始GC方案辅助化疗2疗程,2020-6复查影像(-)。2020-6开始PD-1辅助免疫治疗,2022-2复查影像学(-)。
 
患者目前无疾病复发生存时间(DFS)已达23个月。
 
指导专家点评
 
病例指导专家简介
 
 
陈海戈  教授
 
主任医师,博士生导师
 
上海交通大学医学院附属仁济医院泌尿科行政副主任
 
上海交通大学医学院附属仁济医院南院泌尿科执行主任
 
上海交通大学医学院附属仁济医院膀胱肿瘤专业组组长
 
学术任职
 
中华医学会泌尿外科上海分会委员
 
中华医学会泌尿外科肿瘤学组委员
 
中国健康促进会泌尿外科分会委员
 
中国装备协会腔镜与微创技术分会泌尿学组委员
 
国际膀胱癌联盟IBCN成员
 
中国膀胱癌联盟 发起成员
 
这是一例初诊为局部进展期MIBC(cT4aN2M0)患者,存在区域淋巴结转移、合并原位癌、侵犯神经束等高危因素。
 
对于区域淋巴结转移(cN1~3)患者,已有研究证实,新辅助和辅助化疗+根治性切除的预后显著优于单纯手术或单纯化疗(5年OS率:31%、26%、19%、14%)[1]。近年来,国内外有不少尿路上皮癌新辅助免疫治疗的探索。
 
 
尽管GC方案仍是当前尿路上皮癌新辅助治疗的标准方案,但患者基因检测结果显示为DDR突变阳性、基底型、高TMB,提示为免疫治疗敏感人群。该病例的NACI决策过程体现了精准治疗的模式:
 
(1)Basal基底型肿瘤是一种对免疫治疗更敏感的亚型[2],仁济医院研究显示,基底型在中国人群中占比约为25%,预后较差,中位RFS和OS分别为18.5个月和30.4个月[3-4]
 
(2)DDR突变在尿路上皮癌中也较常见,此型突变患者与铂类化疗敏感相关,并且与免疫检查点抑制剂反应相关[5]
 
(3)高TMB也被认为是免疫治疗敏感的生物标志物,仁济医院、北京大学肿瘤医院牵头的POLARIS-03研究结果表明,相较于低TMB患者,高TMB的mUC患者可以从特瑞普利单抗治疗中获得更长的PFS(12.9 vs 1.8个月,HR 0.48)和OS(NR vs 10.0个月,HR 0.53)[6],但该研究显示总体人群且无论PD-L1表达水平如何均可从特瑞普利单抗治疗中获益,此方案是目前国内医保目录中唯一不需考虑PD-L1表达水平的mUC免疫治疗药物,在本例新辅助免疫治疗患者中再次得到印证。
 
该例患者在接受NACI、手术、辅助治疗等综合治疗后,目前无病生存已近2年。如果辅助治疗后发生进展应该如何进一步选择治疗方案,检测Trop-2、Nectin-4、FGFR3等其他靶点的检测将有助于指导治疗。
 
专家述评
 
病例点评专家简介
 
 
薛 蔚 教授
 
主任医师,博士生导师
 
上海交通大学医学院附属仁济医院副院长
 
上海交通大学医学院附属仁济医院泌尿科主任
 
上海市领军人才
 
上海工匠、上海医务工匠
 
上海市优秀学术带头人
 
上海医学领军人才
 
中华医学会泌尿外科分会常务委员
 
上海市医学会泌尿外科分会副主任委员
 
上海市泌尿外科临床质控中心主任委员
 
中国医疗保健国际交流促进会腔镜内镜外科分会副主任委员
 
中国医师协会泌尿外科分会委员
 
中华医学会泌尿外科分会微创学组副组长
 
《中华泌尿外科杂志》 、《上海医学》编委
 
美国MD Anderson癌症中心访问副教授
 
对于局部进展期MIBC患者,应该进入规范化的泌尿系肿瘤MDT协作诊治,为患者制定最佳方案。
 
仁济医院“泌尿系肿瘤”MDT自建立以来,每周二下午为全国各地乃至来自海外的疑难病例进行讨论,我是MDT首席专家与召集人。仁济泌尿一直强调对于肿瘤的治疗,绝不能偏信一家之言,必须在国内外指南与临床研究的指引下,汇集多学科集思广益,才能够为患者提供最佳治疗方案,真正做到“Patient First”。
 
尿路上皮癌免疫治疗已经从2线治疗逐渐向前线发展。仁济泌尿团队于2019年起牵头开展了《RJBLC-I2N003研究:一项考察特瑞普利单抗(重组人源化抗PD-1单克隆抗体注射液)在肌层浸润性膀胱尿路上皮癌患者全膀胱根治术前新辅助治疗的有效性和安全性的开放、单臂临床研究》。RJBLC-I2N003研究结果于2022年ASCO-GU报道:术前4个疗程的特瑞普利单抗单药新辅助治疗可获得40%(8/20)的pCR,无残留侵袭性疾病率(pCR或pTisN0/pTaN0)则高达65%(13/20),且耐受性、安全性良好[7]
 
这位患者在仁济泌尿MDT多学科团队协作下,在生物标志物指导下,通过术前新辅助治疗、手术根治性切除、术后辅助治疗等综合治疗获得23个月DFS,取得了长期无病生存,是泌尿系肿瘤多学科协同诊治的受益者。
 
参考文献
 
[1]Galsky MD, Stensland K, Sfakianos JP, et al. Comparative Effectiveness of Treatment Strategies for Bladder Cancer With Clinical Evidence of Regional Lymph Node Involvement. J Clin Oncol. 2016;34(22):2627-2635. doi:10.1200/JCO.2016.67.5033
 
[2]Robertson AG, Kim J, Al-Ahmadie H, et al. Comprehensive Molecular Characterization of Muscle-Invasive Bladder Cancer [published correction appears in Cell. 2018 Aug 9;174(4):1033]. Cell. 2017;171(3):540-556.e25. doi:10.1016/j.cell.2017.09.007
 
[3]EAU Poster 2017
 
[4]EAU Poster 2019
 
[5]Teo MY, Seier K, Ostrovnaya I, et al. Alterations in DNA Damage Response and Repair Genes as Potential Marker of Clinical Benefit From PD-1/PD-L1 Blockade in Advanced Urothelial Cancers. J Clin Oncol. 2018;36(17):1685-1694. doi:10.1200/JCO.2017.75.7740
 
[6]Xinan Sheng, Haige Chen, Bin Hu, et al.Recombinant humanized Anti-PD-1 monoclonal antibody toripalimab in patients with metastatic urothelial carcinoma (POLARIS-03 study): Two-year survival update and biomarker analysis.ASCO-GU 2022,abstract 508
 
[7]Ruiyun Zhang, et al.Longitudinal personalized urinary tumor DNA analysis in muscle-invasive bladder cancer from the neoadjuvant immunotherapy trial RJBLC-I2N003. ASCO-GU 2022, abstract 552

本内容仅供医学专业人士参考


膀胱癌

分享到: 更多